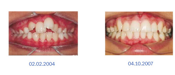
08/01/2015 | Tratamento ortodôntico em crianças pode se iniciar aos 3 anos de idadeQuando os pais percebem que os dentes de seus filhos estão ficando tortos e procuram um profissional, quase sempre são aconselhados a esperar o término da dentição mista até que o uso de aparelhos fixos seja possível. Até chegar a esta fase, por volta dos 13 anos de idade, provavelmente os dentes estarão ainda mais mal posicionados, afetando a aparência física e a autoestima da criança. Então, por que não iniciar o tratamento mais cedo?
Alguns estudos mostram que os dentes tortos em crianças não são um problema hereditário, e que em 60% dos casos estas complicações já podem ser observadas antes dos seis anos de idade, fase em que toda estrutura dental está em desenvolvimento, guiada pelos lábios, pelas bochechas, pela língua e pela respiração da criança. Quando este processo acontece de maneira errada, ocorrem problemas no encaixe das arcadas, o que prejudica o desenvolvimento ósseo da face e das articulações da mandíbula, resultando em dentes apinhados ou sobrepostos, interferindo até mesmo na oxigenação do cérebro.
Para tratar desde cedo os maus hábitos orais nas crianças, a australiana Myofuncional Research Co. desenvolveu o Sistema Myobrace que é composto por aparelhos confeccionados em silicone que permitem que o tratamento em crianças se inicie a partir dos 3 anos de idade, impedindo que o problema se torne mais difícil de tratar no futuro, evitando também a necessidade de tratamento com aparelho fixo e possíveis extrações dentárias. “Iniciar o tratamento antecipadamente diminui os custos, já que quanto antes o problema for tratado, mais rápidos e melhores serão os resultados, além de evitar a volta do problema”, explica o Dr. Paulo Faria, cirurgião dentista pós-graduado em Ortodontia e Ortopedia Funcional.
O Dr. Paulo Soares, Especialista em Ortodontia e Ortopedia Facial em Aracaju, SE, ressalta que acredita que esta é uma boa alternativa de tratamento: “O Sistema Myobrace é uma excelente ferramenta para corrigir os maus hábitos bucais que atrapalham o desenvolvimento facial e dentário. Tratando as causas verdadeiras, conseguimos resultados mais saudáveis, com estabilidade e beleza.”
Além de serem ideais para crianças, os aparelhos não precisam de moldes, são confortáveis e necessitam de uso somente uma hora durante o dia e durante o período do sono, proporcionando liberdade exercer as atividades
.jpg)
.jpg)
Comentários, artigos e outras opiniões de colaboradores e articulistas não refletem necessariamente o pensamento do site, sendo de única e total responsabilidade de seus autores.
03/10/2022 - Luiz Santos: E se Lutero vivesse hoje?
26/09/2022 - Luiz Santos: 505 anos da Reforma Protestante: Tensão entre a Fé e a Política
19/09/2022 - Luiz Santos: Sobriedade
19/09/2022 - Luiz Santos: Lealdade